penyebab gusi sakit bagian belakang di malaysia
Ini penyebabnya apa dok. Penyebab gusi bengkak ada bermacam macam di antaranya gingivitis atau radang gusi terjadinya infeksi kekurangan vitamin serta peningkatan aliran darah selama kehamilan untuk mengatasi gusi bengkak bernanah bisa dilakukan dengan beberapa cara termasuk pemberian obat penghilang rasa sakit obat anti radang ataupun obat antibiotik.
7 Penyebab Muka Bengkak Tiba Tiba Yang Harus Disadari Health Fimela Com
Dok langsung saja pada pertanyaan saya.
. Banyak orang mengalami gingivitis dan tidak menyadarinya karena gejalanya sangat ringan. Untuk mencegah terjadinya infeksi tubuh memiliki pelindung seperti kulit rambut air liur air mata asam lambung dan lain sebagainya. Apabila tidak ditangani plak dapat mengeras menjadi karang gigi dan berisiko menyebabkan gusi berdarah.
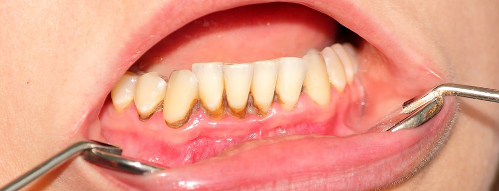
Faktor-faktor penyebab penyakit gusi -Disebabkan oleh kuman yang hadir di dalam plakIni kerana plak gigi adalah suatu filem protein yang nipisdihasilkan dari air liur dan akan melekat pada permukaan gigi kita sepanjang hari -Kemudian dikontaminasikan oleh kuman yang banyak di dapati di dalam mulut. 15 Cara Mengobati Gusi. Gingivitis merupakan penyakit gusi yang menyebabkan gusi menjadi iritasi kemerahan dan kemudian bengkak.
Tak hanya menjadi penyebab timbulnya kanker mulut penyakit pada gusi juga dapat menjadi penyebab timbulnya kanker yang lain. Bahkan minyak jarak bisa menyembuhkan sakit gigi dalam waktu yang sangat cepat. Mulai dari sakit kepala hingga demam.
Antara tanda-tanda penyakit gusi adalah gusi bengkak gusi berdarah terutamanya semasa memberus gigi. Sekarang gara-gara gusi saya yang bengkak bagian tubuh saya yang lain juga ikut sakit. Gusi bengkak bisa jadi akibat sariawan di mulut termasuk pada dasar gusi.
Kondisi ini dapat menyebabkan kerusakan tulang rahang dan gigi sehat lainnya jika tidak dirawat dengan benar. Kandungan minyak jarak juga bisa membuat aliran darah di bagian gusi menjadi lebih baik sehingga mempercepat penyembuhan peradangan. Menurut Harvard Health Publishing mengungkapkan perubahan cuaca mengalami gangguan tidur adanya tekanan atau tingkat stres yang cukup tinggi mengonsumsi alkohol terlalu berlebihan dan merokok menjadi pemicu seseorang alami migrain yang sebabkan sakit kepala bagian belakang.
Terdapat banyak sebab sakit belakang. Penyakit gusi biasanya disebabkan oleh ginfeksi gigi yang berlubang. Gusi yang sihat berwarna merah jambu dan akar gigi biasanya tidak kelihatan.
Kebiasaan Merokok mengkonsumsi tembakau obat obatan diet yang salah kurang olah raga dan inveksi HIV dapat menjadi pemicu munculnya sel sel kanker di dalam tubuh. Untuk mencegah gigi geraham bungsu tidak sakit ada baiknya Anda sesekali cek perkembangan gigi bungsu sejak usia 17 tahun. Apabila melihat tonjolan putih keras di gusi bagian belakang dan menimbulkan gejala segera datang ke dokter gigi.
Salah satu penyebab gusi bengkak dan sakit adalah karena kekurangan asupan kebutuhan nutrisi gizi. Kebersihan gigi yang buruk adalah penyebab paling umum dari radang gusi. Pada akhirnya hal ini dapat memicu turunnya gusi jika terus berulang.
Gingivitis atau peradangan yang terjadi pada gusi. 75 kes sakit belakang tidak dapat dipastikan punca sebenarnya. Periodontitis kronik menyebabkan gusi bengkak dan sakit dan kehilangan tulang alveolar yang menyokong gigi.
Ada beberapa kondisi yang memicu seseorang alami migrain. Kondisi ini dapat menyebabkan gigi menjadi mudah tanggal. Posisi gigi yang tidak benar seperti miring berputar atau agak menonjol juga berisiko menyebabkan gusi menjadi lebih tipis.
Akibatnya terjadi pergerakan tepi gusi kearah akar gigi. Namun jika dibiarkan atau tidak diobati gusi bengkak akibat gingivitis tersebut dapat menyebabkan periodontitis dan hilangnya gigi. Plak ialah satu lapisan nipis yang tidak berwarna dan melekit yang terbentuk di atas permukaan gigi Pembentukan plak menyebabkan gusi bengkak kemerahan dan mudah berdarah.
Selain itu wajib jaga kebersihan mulut dengan sikat gigi 2 kali sehari di waktu yang tepat dan pastikan. Sakit belakang dikaitkan dengan rasa sakit dan kurang selesa di bahagian belakang badan biasanya di bahagian bawah belakang badan. Istilah periodontitis kronik dikurangkan secara berfasa kerana terdapat sistem baru untuk mengkategorikan pelbagai jenis penyakit gusi tetapi kami.
Gingivitis merupakan kondisi peradangan pada gusi. Minyak jarak bisa. Kedua-dua gingivitis dan periodontitis adalah perkataan yang digunakan untuk menggambarkan penyakit gusitetapi kedua-duanya tidak boleh ditukar ganti dan tidak merujuk kepada perkara yang.
Mengenai Kami Piagam Pelanggan Soalan Lazim Kesihatan Peta Laman. Gingivitis yang tidak ditangani juga dapat menyebabkan periodontitis yaitu infeksi pada gusi yang merusak gigi tulang rahang dan jaringan ikat yang menghubungkan gigi dan gusi. Sebagian besar merupakan penyakit yang juga dapat menyerang gusi pada bagian lain seperti gingivitis kandidiasis mulut oral thrush atau periodontitis.
Ia juga boleh menyebabkan periodontitis iaitu penyakit lanjutan yang lebih serius. Gingivitis disebabkan oleh infeksi bakteri pada mulut. Infeksi virus atau jamur.
Hal ini kerana sekiranya pendakap gigi dipasangkan terlalu berhampiran dengan gusi ianya akan memberikan tekanan pada gusi sekaligus menyebabkan ia menjadi bengkak. Manakala 25 kes ini berkemungkinan disebabkan oleh. Ada beberapa penyakit yang dapat menyebabkan gusi belakang bengkak.
Selain kedua hal di atas kuman pada plak gigi juga dapat menyebabkan peradangan pada gusi. Penyebab Radang Gusi Gingivitis disebabkan oleh pembentukan plak akibat sisa-sisa makanan yang menempel di permukaan gigi dan bercampur dengan bakteri di mulut. Kemampuan minyak jarak untuk menghilangkan bakteri dan kuman penyebab gusi bengkak memang sangat cepat.
Masalah Gusi di Kalangan Pesakit Yang Mengalami Masalah Sistemik - PORTAL MyHEALTH Seseorang yang mempunyai daya tahan tubuh yang lemah menahan jangkitan seperti HIV Down Syndrom penyakit auto imun leukemia dan beberapa penyakit darah yang lain amat mudah diserang penyakit gusi. Kekurangan gizi atau skorbut yakni kondisi ketika tubuh kekurangan vitamin C. Mulai dari Jumat 26102012 lalu hingga hari ini gusi bagian kiri ujung saya mengalami pembengkakan disertai dengan sulitnya untuk menelan air liur.
Gusi bengkak karena sariawan bisa jadi penyebabnya adalah pada gangguan sistem imun maupun infeksi dari bakteri atau virus seperti herpes oralCedera akibat benturan keras. Pemasangan macam macam gigi palsu atau perlengkapan gigi lain yang tidak tepat. Sensitivitas gusi karena pemakaian pasta gigi tertentu atau obat kumur.
Penyebab seterusnya adalah pemakaian pendakap gigi. Bakteria boleh menyebabkan gusi bengkak yang dikenali sebagai gingivitis suatu penyakit gusi ringan peringkat awal. Ini adalah kaitan antara istilah-istilah tersebut.
Penyakit gusi adalah istilah umum yang meluas dan digunakan untuk menggambarkan jangkitan bakteria di dalam mulut anda. Penyakit Gusi terdiri daripada pelbagai peringkat yang bermula dengan pembentukan plak. Di samping itu penyakit yang secara khusus menyebabkan gusi belakang bengkak adalah.
Plak yang menumpuk dapat menyebabkan gingivitis atau radang gusi. Pada umumnya gusi akan mengalami pembengkakan ketika sedang menghadapi terjadinya infeksi. Kondisi ini disebut periocoronitis penyebab paling umum sakit dan bengkak gusi belakang.
Bila tidak dibersihkan plak akan mengeras dan membentuk karang gigi. Selain itu amalan pemakanan yang tidak sihat juga boleh menjadi salah satu penyebab gusi bengkak. Penyakit gusi merupakan sejenis keradangan pada gusi.
Penyebab nyeri yang lebih serius bisa disebabkan oleh tumor atau kista yang terbentuk di sekitar gigi bungsu yang impaksi. 2 Gusi Anda Membengkak Pada peringkat awal penyakit gusi gusi anda juga boleh membengkak apabila ia meradang. Sariawan menyebabkan perih dan nyeri luar biasa yang bikin Anda sulit untuk makan dan berbicara.
Penyebab gusi belakang bengkak. Kronik adalah label yang bermakna penyakit itu telah berterusan untuk beberapa waktu tanpa rawatan.
6 Jenis Gigi Ini Tak Boleh Pasang Veneer Simak Penjelasan Pakar Health Liputan6 Com
Penyakit Spondilosis Serviks Gejala Penyebab Pengobatan Kompas Com
4 Cara Ampuh Bersihkan Karang Gigi Tanpa Perlu Ke Dokter Gigi Semua Halaman Cewekbanget
Yuk Kenali Masalah Kesehatan Gigi Dan Mulut Yang Sering Ditemui Di Indonesia Mhdc Group Klinik Gigi Dan Klinik Vaksin Dengan Harga Terjangkau
10 Cara Mengobati Gusi Bengkak Secara Alami Mudah Dan Murah Ragam Bola Com
Bahaya Gigi Berlubang Jika Tidak Segera Ditangani
4 Langkah Redakan Bengkak Pipi Akibat Sakit Gigi Health Liputan6 Com
Hilangkan Karang Gigi Tak Sampai 1 Jam Bermodalkan Tanaman Di Belakang Rumah Semua Halaman Kids
Trigeminal Neuralgia Bukan Gejala Sakit Gigi Biasa
Kapan Waktu Yang Tepat Untuk Cabut Gigi Bungsu Halaman All Kompas Com
Gigi Berlubang Jangan Dibiarkan Di Tengah Pandemi Antara News
Gusi Bengkak Gejala Penyebab Dan Mengobati Alodokter
Kapan Waktu Yang Tepat Untuk Cabut Gigi Bungsu Halaman All Kompas Com
Ditambal Sementara Gigi Kok Tambah Sakit Halaman All Kompas Com
Pentingnya Memeriksa Kesehatan Gigi Setelah Puasa
Estimasi Biaya Cabut Gigi Geraham Di Dokter Gigi Terbaru
Mudah Terkena Sariawan Ketahui 4 Penyebabnya Mulai Dari Kondisi Medis Hingga Cedera Semua Halaman Kids


0 Response to "penyebab gusi sakit bagian belakang di malaysia"
Post a Comment